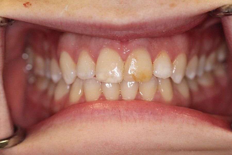
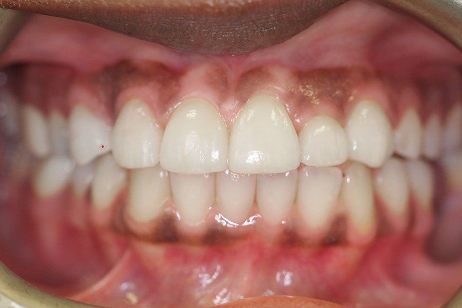
Crowns & Invisalign Before
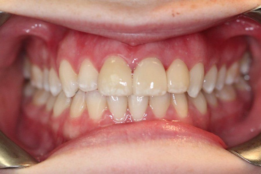
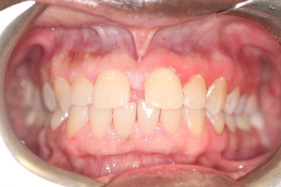
Crowns & Invisalign After
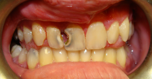
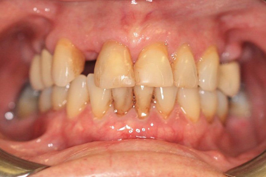
Crowns Before
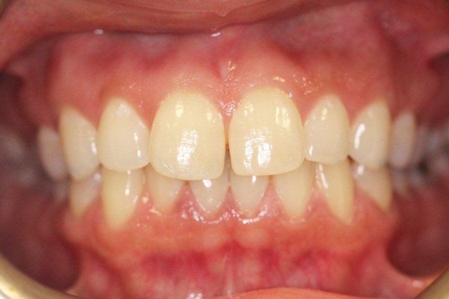
Crowns After
Invisalign Before
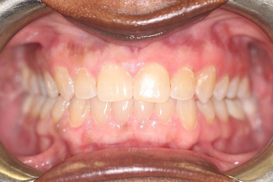
Invisalign After
Bridges Before
Bridges After
Dental Implant Before
Dental Implant After
Bridge Before
Bridge After
Fillings Before
Fillings After
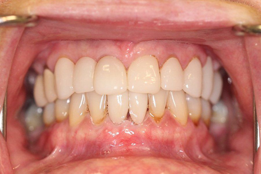
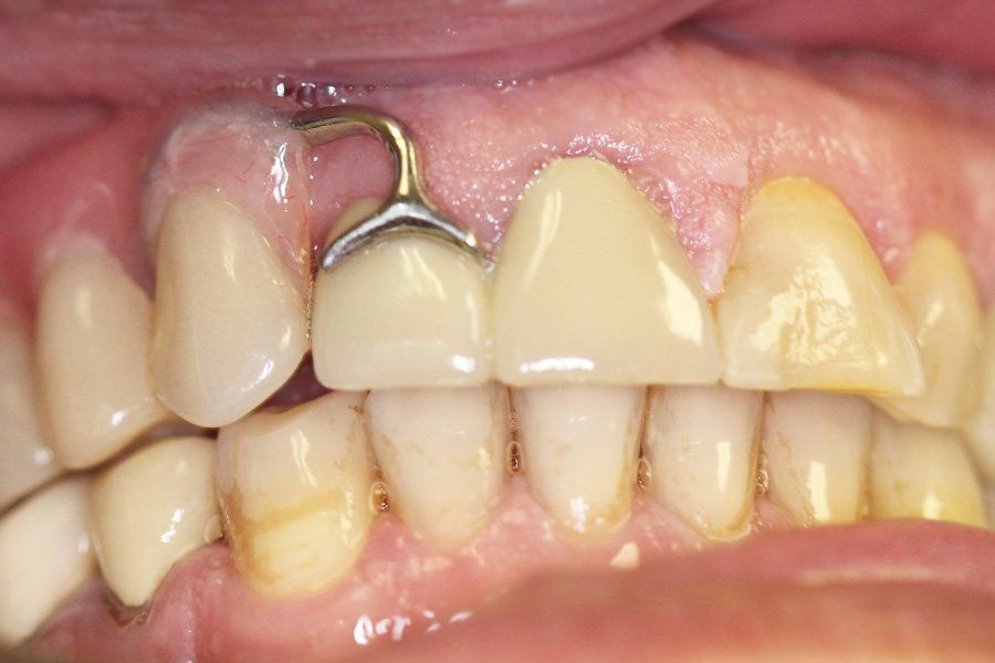
Partial Dentures Before
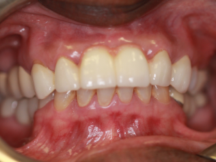
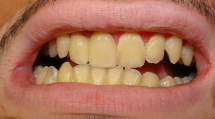
Partial Dentures After
Apply Now!
Make an Online Payment
Learn About Cherry Financing
(704) 596-8949
8823 University E Dr #100,
Charlotte, NC 28213
Get Driving Directions
All Rights Reserved | Piedmont Dentistry